Note
Go to the end to download the full example code.
Calculate Path Length Map#
We show how to calculate a Path Length Map for Anisotropic Radiation Therapy Contours given a set of streamlines and a region of interest (ROI). The Path Length Map is a volume in which each voxel’s value is the shortest distance along a streamline to a given region of interest (ROI). This map can be used to anisotropically modify radiation therapy treatment contours based on a tractography model of the local white matter anatomy, as described in [1], by executing this tutorial with the gross tumor volume (GTV) as the ROI.
Note
The background value is set to -1 by default
Let’s start by importing the necessary modules.
import matplotlib as mpl
from mpl_toolkits.axes_grid1 import AxesGrid
import numpy as np
from dipy.core.gradients import gradient_table
from dipy.data import default_sphere, get_fnames
from dipy.direction import peaks_from_model
from dipy.io.gradients import read_bvals_bvecs
from dipy.io.image import load_nifti, load_nifti_data, save_nifti
from dipy.reconst.shm import CsaOdfModel
from dipy.tracking import utils
from dipy.tracking.stopping_criterion import ThresholdStoppingCriterion
from dipy.tracking.streamline import Streamlines
from dipy.tracking.tracker import eudx_tracking
from dipy.tracking.utils import path_length
from dipy.viz import actor, colormap as cmap, window
First, we need to generate some streamlines and visualize. For a more complete description of these steps, please refer to the An introduction to the Probabilistic Tractography and the Visualization of ROI Surface Rendered with Streamlines Tutorials.
hardi_fname, hardi_bval_fname, hardi_bvec_fname = get_fnames(name="stanford_hardi")
label_fname = get_fnames(name="stanford_labels")
data, affine, hardi_img = load_nifti(hardi_fname, return_img=True)
labels = load_nifti_data(label_fname)
bvals, bvecs = read_bvals_bvecs(hardi_bval_fname, hardi_bvec_fname)
gtab = gradient_table(bvals, bvecs=bvecs)
white_matter = (labels == 1) | (labels == 2)
csa_model = CsaOdfModel(gtab, sh_order_max=6)
csa_peaks = peaks_from_model(
csa_model,
data,
default_sphere,
relative_peak_threshold=0.8,
min_separation_angle=45,
mask=white_matter,
)
stopping_criterion = ThresholdStoppingCriterion(csa_peaks.gfa, 0.25)
We will use an anatomically-based corpus callosum ROI as our seed mask to demonstrate the method. In practice, this corpus callosum mask (labels == 2) should be replaced with the desired ROI mask (e.g. gross tumor volume (GTV), lesion mask, or electrode mask).
# Make a corpus callosum seed mask for tracking
seed_mask = labels == 2
seeds = utils.seeds_from_mask(seed_mask, affine, density=[1, 1, 1])
# Make a streamline bundle model of the corpus callosum ROI connectivity
streamlines_generator = eudx_tracking(
seeds,
stopping_criterion,
affine,
pam=csa_peaks,
random_seed=1,
sphere=default_sphere,
step_size=2,
)
streamlines = Streamlines(streamlines_generator)
# Visualize the streamlines and the Path Length Map base ROI
# (in this case also the seed ROI)
streamlines_actor = actor.line(streamlines, colors=cmap.line_colors(streamlines))
surface_opacity = 0.5
surface_color = [0, 1, 1]
seedroi_actor = actor.contour_from_roi(
seed_mask, affine=affine, color=surface_color, opacity=surface_opacity
)
scene = window.Scene()
scene.add(streamlines_actor)
scene.add(seedroi_actor)
If you set interactive to True (below), the scene will pop up in an interactive window.
interactive = False
if interactive:
window.show(scene)
window.record(scene=scene, n_frames=1, out_path="plm_roi_sls.png", size=(800, 800))

A top view of corpus callosum streamlines with the blue transparent ROI in the center.
Now we calculate the Path Length Map using the corpus callosum streamline bundle and corpus callosum ROI.
NOTE: the mask used to seed the tracking does not have to be the Path Length Map base ROI, as we do here, but it often makes sense for them to be the same ROI if we want a map of the whole brain’s distance back to our ROI. (e.g. we could test a hypothesis about the motor system by making a streamline bundle model of the cortico-spinal track (CST) and input a lesion mask as our Path Length Map base ROI to restrict the analysis to the CST)
path_length_map_base_roi = seed_mask
# calculate the WMPL
wmpl = path_length(streamlines, affine, path_length_map_base_roi)
# save the WMPL as a nifti
save_nifti("example_cc_path_length_map.nii.gz", wmpl.astype(np.float32), affine)
# get the T1 to show anatomical context of the WMPL
t1_fname = get_fnames(name="stanford_t1")
t1_data = load_nifti_data(t1_fname)
fig = mpl.pyplot.figure()
fig.subplots_adjust(left=0.05, right=0.95)
ax = AxesGrid(
fig,
111,
nrows_ncols=(1, 3),
cbar_location="right",
cbar_mode="single",
cbar_size="10%",
cbar_pad="5%",
)
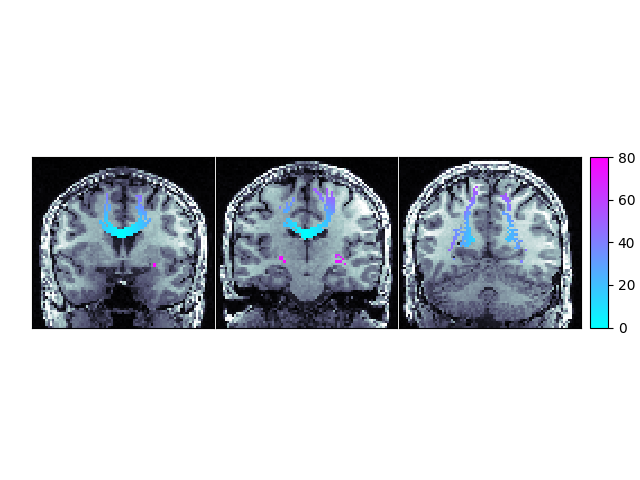
We will mask our WMPL to ignore values less than zero because negative numbers indicate no path back to the ROI was found in the provided streamlines
wmpl_show = np.ma.masked_where(wmpl < 0, wmpl)
slx, sly, slz = [60, 50, 35]
ax[0].matshow(np.rot90(t1_data[:, slx, :]), cmap=mpl.cm.bone)
im = ax[0].matshow(np.rot90(wmpl_show[:, slx, :]), cmap=mpl.cm.cool, vmin=0, vmax=80)
ax[1].matshow(np.rot90(t1_data[:, sly, :]), cmap=mpl.cm.bone)
im = ax[1].matshow(np.rot90(wmpl_show[:, sly, :]), cmap=mpl.cm.cool, vmin=0, vmax=80)
ax[2].matshow(np.rot90(t1_data[:, slz, :]), cmap=mpl.cm.bone)
im = ax[2].matshow(np.rot90(wmpl_show[:, slz, :]), cmap=mpl.cm.cool, vmin=0, vmax=80)
ax.cbar_axes[0].colorbar(im)
for lax in ax:
lax.set_xticks([])
lax.set_yticks([])
fig.savefig("Path_Length_Map.png")

Path Length Map showing the shortest distance, along a streamline, from the corpus callosum ROI with the background set to -1.
References#
Total running time of the script: (0 minutes 9.169 seconds)