Note
Go to the end to download the full example code.
Robust fitting with iteratively reweighted least squares.#
Both Coveney et al.[1] and Coveney et al.[2] show robust fitting using iteretively reweighted least squares (IRLS). Methods for fitting DTI and DKI data are shown in the relevant examples.
It is possible to construct novel weighting functions and novel outlier functions in DIPY in order to do robust fitting with IRLS.
Here we show an example of multi-voxel outlier detection (MVOD) Coveney et al.[1].
import numpy as np
from dipy.core.gradients import gradient_table
from dipy.data import get_fnames
from dipy.io.gradients import read_bvals_bvecs
from dipy.io.image import load_nifti
import dipy.reconst.dti as dti
from dipy.reconst.weights_method import (
simple_cutoff,
weights_method_wls_m_est,
)
from dipy.segment.mask import median_otsu
from dipy.utils.volume import adjacency_calc
from dipy.viz.plotting import compare_maps
We will use the same data from the DTI example.
hardi_fname, hardi_bval_fname, hardi_bvec_fname = get_fnames(name="stanford_hardi")
data, affine = load_nifti(hardi_fname)
bvals, bvecs = read_bvals_bvecs(hardi_bval_fname, hardi_bvec_fname)
gtab = gradient_table(bvals, bvecs=bvecs)
maskdata, mask = median_otsu(
data, vol_idx=range(10, 50), median_radius=3, numpass=1, autocrop=True, dilate=2
)
/Users/skoudoro/devel/dipy/doc/examples_revamped/reconstruction/reconst_robust_fitting.py:45: ArgsDeprecationWarning: "autocrop" was deprecated
* deprecated from version: 1.11.0
* Will raise <class 'dipy.utils.deprecator.ExpiredDeprecationError'> as of version: 1.13.0
maskdata, mask = median_otsu(
Firstly let’s fit with WLS.
tenmodel = dti.TensorModel(gtab, fit_method="WLS")
tenfit_orig = tenmodel.fit(maskdata[:, :, 38:39], mask=mask[:, :, 38:39])
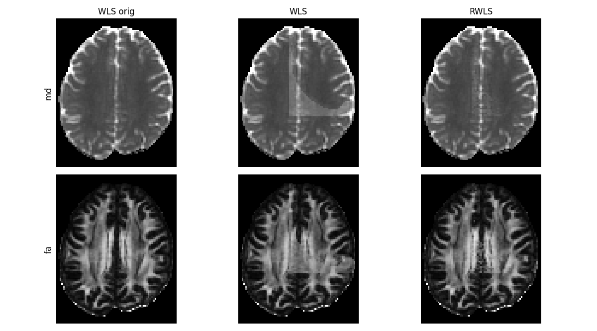
Examples DTI and DKI both show how to use robust fitting. Let’s corrupt the data by off-setting a bunch of images. Of course, in this case shot rejection could be used, but this is just an easy way to make an example. Let’s see how WLS and Robust WLS (RWLS) perform.
maskdata[30:, 30:, 38:39, 10:20] = maskdata[0:-30, 0:-30, 38:39, 10:20]
tenmodel = dti.TensorModel(gtab, fit_method="WLS")
tenfit = tenmodel.fit(maskdata[:, :, 38:39], mask=mask[:, :, 38:39])
tenmodel_rwls = dti.TensorModel(gtab, fit_method="RWLS")
tenfit_rwls = tenmodel_rwls.fit(maskdata[:, :, 38:39], mask=mask[:, :, 38:39])
Here are MD and FA for the different fits:
compare_maps(
[tenfit_orig, tenfit, tenfit_rwls],
["md", "fa"],
fit_labels=["WLS orig", "WLS", "RWLS"],
map_kwargs=[{"vmin": 0.000, "vmax": 0.002}, {"vmin": 0, "vmax": 1.0}],
filename="Compare_WLS_and_RWLS.png",
)

WLS and RWLS on the corrupted data, compared to the original fit.
We might be able to do better by designing our own weight function to use on each iteration of IRLS, as well as by designing our own outlier rejection functions.
Here, for simplicity, we will load the
weights_method_wls_m_est()
function (take a look at this function to understand how you might write your
own), but write our own outlier rejection function that depends on
neighbouring voxels.
Firstly, let’s calculate adjacency, respecting the mask. For each voxel, we
obtain the index (into a masked array of neighbouring voxels), with
voxel-distance less than cutoff.
adjacency = adjacency_calc(mask.shape[0:2], mask=mask[:, :, 38:39], cutoff=3)
Now we will write a multi-voxel outlier detection (MVOD) function.
def MVOD_cutoff(
residuals,
log_residuals,
pred_sig,
design_matrix,
leverages,
C,
cutoff,
linear,
adjacency,
):
"""MVOD outlier detection (includes "two-eyes" SVOD condition as well)"""
# SVOD: single voxel outlier detection
cond = simple_cutoff(
residuals, log_residuals, pred_sig, design_matrix, leverages, C, cutoff
)
# an alternative outlier definition for single voxels is:
# cond = two_eyes_cutoff(residuals, log_residuals, pred_sig,
# design_matrix, leverages, C, cutoff)
# MVOD: multiple voxel outlier detection
# ======================================
MV_cond = np.zeros_like(cond)
leverages[np.isclose(leverages, 1.0)] = 0.9999
HAT_factor = np.sqrt(1 - leverages)
_p = design_matrix.shape[1]
factor = 1.4826
# if adjacency is None, then weights are the same for all voxels
adj_full = False
if adjacency is None:
adjacency = [[list(range(residuals.shape[0]))]]
adj_full = True
for vox in range(len(adjacency)):
if linear:
HAT, _HAT_vox = HAT_factor[adjacency[vox]], HAT_factor[vox]
else:
HAT, _HAT_vox = HAT_factor, HAT_factor
# calculate C from all adjacent voxels
residuals_vox = residuals[adjacency[vox]]
_log_residuals_vox = log_residuals[adjacency[vox]]
_pred_sig_vox = pred_sig[adjacency[vox]]
yy = residuals_vox / HAT
# C is a robust estimate of stdev of error
# here, uses all images and all voxels in adjacency
C = factor * np.median(np.abs(yy - np.median(yy)))
# multivariate outlier condition: RMSE
MV_cutoff = cutoff
RMSE = np.sqrt((yy**2).mean(axis=0))
MED = np.median(RMSE)
MAD = 1.4826 * np.median(np.abs(RMSE - MED))
cond_RMSE = RMSE > (MED + MV_cutoff * MAD)
MV_cond[vox] = MV_cond[vox] | cond_RMSE
# multivariate outlier condition: SE
MV_cutoff = cutoff
SE = np.sum(yy, axis=0) # sum of residuals
MED = np.median(SE)
MAD = 1.4826 * np.median(np.abs(SE - MED))
cond_SE = (SE > (MED + MV_cutoff * MAD)) | (SE < (MED - MV_cutoff * MAD))
MV_cond[vox] = MV_cond[vox] | cond_SE
if adj_full:
MV_cond[1:] = MV_cond[0]
# check condition number that will result
for vox in range(cond.shape[0]):
u, s, vh = np.linalg.svd(design_matrix[np.invert(MV_cond[vox] | cond[vox])])
min_s = s.min()
if min_s < 1e-2:
pass
else:
# include MV_cond if it doesn't make the design_matrix singular
cond[vox] = cond[vox] | MV_cond[vox]
return cond
Outlier condition functions in DIPY must only take the following arguments:
`residuals, log_residuals, pred_sig, design_matrix, leverages, C, cutoff`
This is so that weighting functions, which make calls to outlier condition functions, are always able to pass the required arguments to the outlier functions.
To handle the fact that our outlier function depends on two more arguments, we create a function as follows (adjacency is in scope here):
Now we are free to define our weights function. Even though we will use
weights_method_wls_m_est, we will specify a new weights function that
defines the outlier condition, and other additional arguments, as follows:
def wm(*args):
return weights_method_wls_m_est(
*args, m_est="gm", cutoff=3, outlier_condition_func=mvod
)
This is because weights functions in DIPY must only take arguments
data, pred_sig, design_matrix, leverages, rdx, TDX, robust
(and must return only w, robust).
tenmodel_rwls_mvod = dti.TensorModel(
gtab,
fit_method="IRLS",
return_S0_hat=True,
weights_method=wm,
fit_type="WLS",
num_iter=10,
)
tenfit_rwls_mvod = tenmodel_rwls_mvod.fit(maskdata[:, :, 38:39], mask=mask[:, :, 38:39])
Robustly fitting (via IRLS) with the new weights function gives much better results.
compare_maps(
[tenfit_orig, tenfit, tenfit_rwls_mvod],
["md", "fa"],
fit_labels=["WLS orig", "WLS", "RWLS + MVOD"],
map_kwargs=[{"vmin": 0.000, "vmax": 0.002}, {"vmin": 0, "vmax": 1.0}],
filename="Compare_WLS_and_RWLS_MVOD.png",
)

WLS and RWLS with MVOD on the corrupted data, compared to the original fit.
Of course you are free to write your own weights functions from scratch. Since weights are calculated after each iteration of fitting over all masked voxels, both the weights function and the outlier condition function can calculate weights and define outliers for the current voxels using information from other voxels.
References#
Total running time of the script: (0 minutes 6.621 seconds)